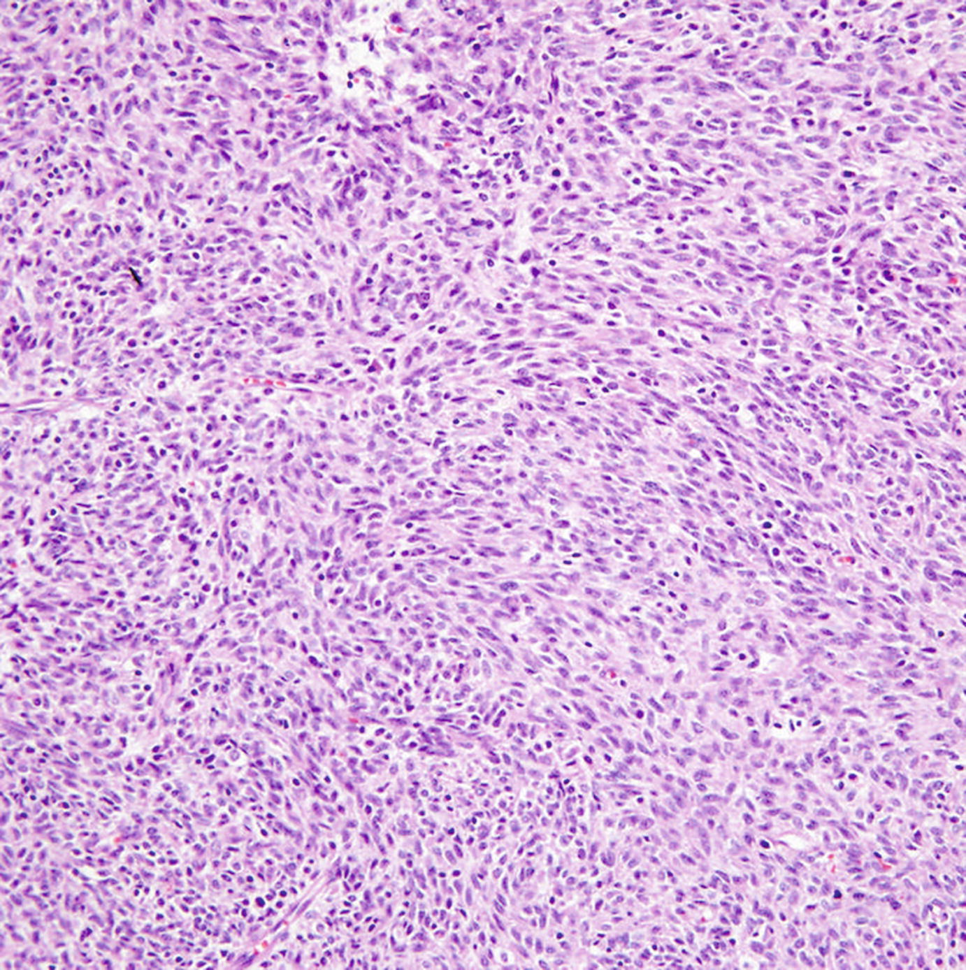
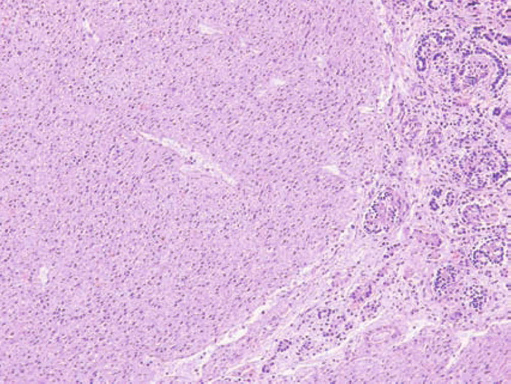
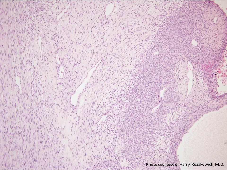
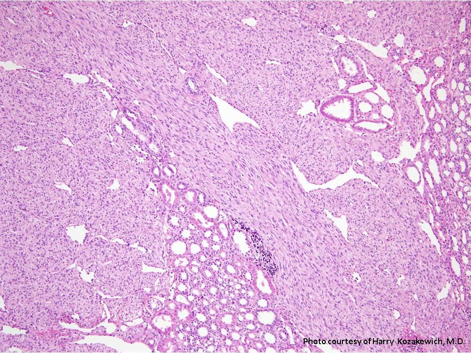
Congenital Mesoblastic Nephroma Pathology

Https Encrypted Tbn0 Gstatic Com Images Q Tbn 3aand9gcsmdnhufsqifdfgsq41vxkvn8s Y0mjc1vbhuxyqj8iik5zua2q Usqp Cau
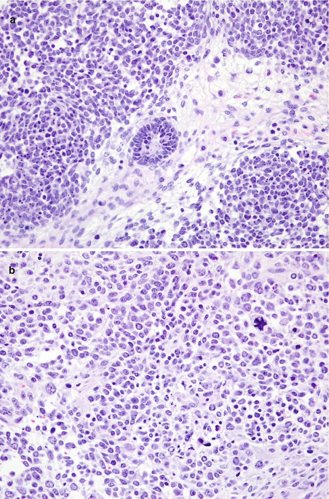
Congenital Mesoblastic Nephroma In A Premature Neonate A Case Report And Review Of Literature Anunobi C C Badmos K B Onyekwelu V I Ikeri N Z Niger J Clin Pract
Pdf Congenital Mesoblastic Nephroma T 12 15 Is Associated With Etv6 Ntrk3 Gene Fusion Cytogenetic And Molecular Relationship To Congenital Infantile Fibrosarcoma
























































































