{
}

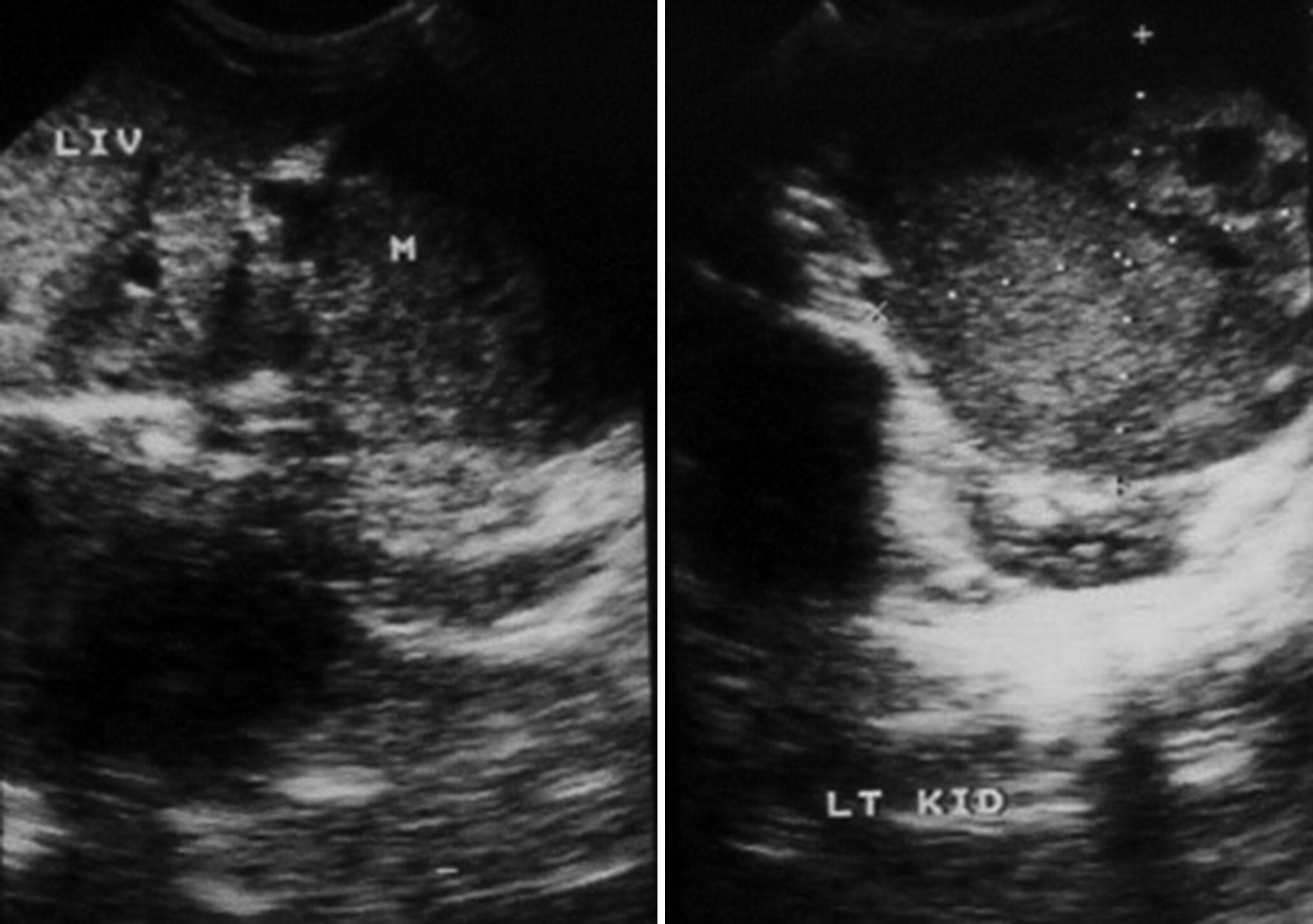
Congenital Mesoblastic Nephroma Ultrasound

Tumors Of The Urinary System Veterian Key

Tumors Of The Urinary System Veterian Key

Pdf Fetal Biparametric Mr Imaging In The Diagnosis Of Congenital Mesoblastic Nephroma

Pdf Fetal Biparametric Mr Imaging In The Diagnosis Of Congenital Mesoblastic Nephroma

Pdf Cellular Congenital Mesoblastic Nephroma With Contralateral Medullary Nephrocalcinosis

Pdf Cellular Congenital Mesoblastic Nephroma With Contralateral Medullary Nephrocalcinosis

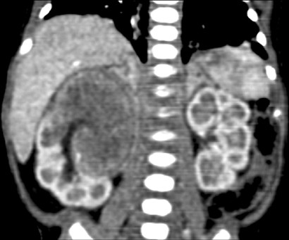
Renal Tumors Of Childhood Radiologic Pathologic Correlation Part 1 The 1st Decade From The Radiologic Pathology Archives Radiographics

Renal Tumors Of Childhood Radiologic Pathologic Correlation Part 1 The 1st Decade From The Radiologic Pathology Archives Radiographics

Management Of Mixed Type Congenital Mesoblastic Nephroma Case Series And Review Of The Literature Ios Press

Management Of Mixed Type Congenital Mesoblastic Nephroma Case Series And Review Of The Literature Ios Press

{}